- Dec 19 Tue 2017 19:44
-
足底筋膜炎手術 高正雄骨科復健診所
- Oct 31 Sat 2015 10:42
-
距骨頸骨折分類 中壢高正雄骨科復健診所
- Oct 31 Sat 2015 09:32
-
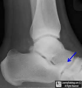
hawkins sign 中壢高正雄骨科診所

hawkins sign
霍金斯標識.是在距骨圓頂指示存活力6至8週的距骨骨折後的軟骨下透亮頻帶。它是在前後視圖中可見的,但很少出現在側位片。
如果全部或部分呈現陽性霍金斯符號被檢測到,這是不可能在損傷後的稍後階段發展成缺血性壞死.是一種很好判斷方法.
- Aug 01 Sat 2015 09:30
-
習慣性足踝扭傷..足骨融合.anteater nose sign
- May 07 Wed 2014 15:02
-
造成足底筋膜炎的原因 中壢高正雄骨科復健診所
- Feb 14 Fri 2014 17:05
-
甲溝炎(Paronychia),俗稱「凍甲」
- Sep 26 Thu 2013 16:51
-
第五腳趾骨折...最常見的腳的腳趾骨折 中壢高正雄骨科復健診所
- Sep 12 Thu 2013 20:56
-
骨折後打石膏慎防腔室壓力症候群 中壢高正雄骨科復健診所

腔室壓力症候群就是腫過頭了.壓壞了血管神經.會造成永久的神經肌肉損傷.甚至
要截肢.所以打完石膏要粉小心.最常見的是痛.會痛到整肢都痛.不會只痛骨折的地方
.尤其牽連趾頭會劇痛的跳起來.其它常見的症狀有趾頭發痲.蒼白.痲痺或感決異常.
- Sep 12 Thu 2013 20:15
-
治遼痛風的秋水仙素最好別長期使用. 中壢高正雄骨科復健診所
- Sep 12 Thu 2013 20:13
-
深層靜脈栓塞症(deep vein thrombosis, DVT) 中壢高正雄骨科復健診所
- Sep 07 Sat 2013 20:47
-
什麼是拇指外翻? 中壢高正雄骨科復健診所
- Sep 07 Sat 2013 20:45
-
腳踝扭傷 中壢高正雄骨科復健診所


















